Author: Laura Sanders / Source: Science News

With every heartbeat, fluid squishes through the brain and jiggles it like a bowl full of jelly.
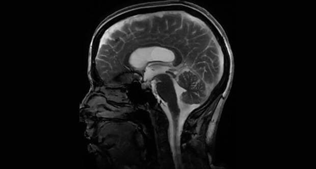
A new twist on magnetic resonance imaging illuminates these pulsing brain ripples, movements so subtle that they had escaped detection by current imaging technology. Abnormal brain motion could signal trouble, such as aneurysms or damage from a concussion.
In the new work, scientists honed an existing method called amplified MRI, a technique that stitches together multiple images taken at precise times of the heartbeat. Using an algorithm…
The post Watch the brain jiggle with each heartbeat appeared first on FeedBox.